آخر تحديث: 29 / 12 / 2025م - 2:45 ص

القطيف.. تصحيح عيب خلقي لـ «خديج» بعمر 5 أيام

جهات الإخبارية

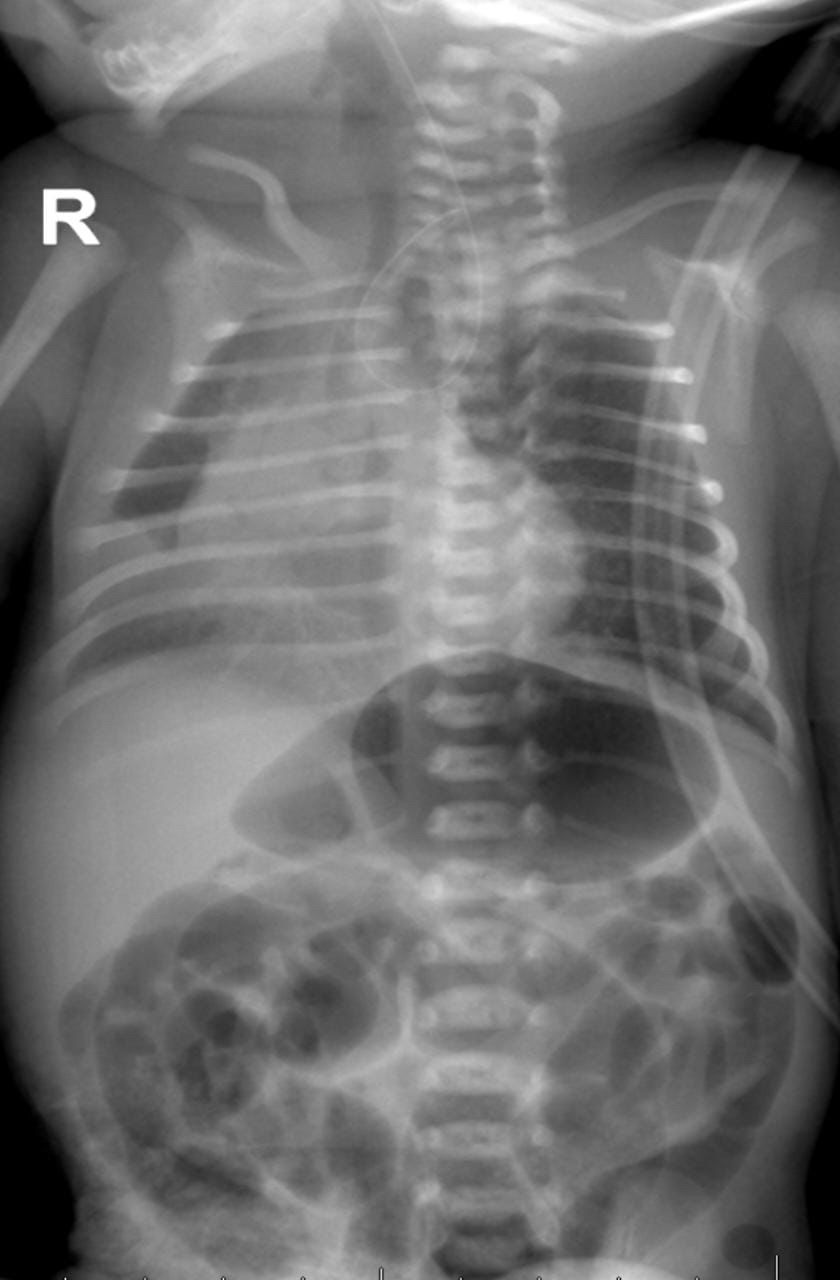
أجرى فريق طبي من أطباء جراحة أطفال واستشاريين التخدير وفنيين العمليات، عملية جراحية لمدة 3 ساعات، وذلك لتصحيح عيب خلقي في طفل حديث الولادة خديج بعمر خمسة أيام.

وأنجز الفريق الطبي رتق المريء مع ناسور رغامي مريئي تكللت بالنجاح والمريض بحالة جيدة، ويتلقى بقية الخطة العلاجية.